Radiografii occlusale
Radiografiile occlusale sunt utile pentru a evalua relația dintre dinți în timpul mușcării și pentru a depista probleme legate de alinierea dinților


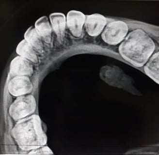
Radiografiile occlusale sunt o formă specializată de imagistică dentară utilizată pentru a evalua relația dintre dinții superiori și cei inferiori în regiunea maxilară și mandibulară. Aceste radiografii sunt utile pentru a detecta probleme legate de alinierea și contactul dintre dinți, precum și pentru a identifica eventualele afecțiuni sau leziuni. În acest articol, vom explora radiografiile occlusale, tehnologia din spatele lor, beneficiile pe care le aduc și aplicațiile în îngrijirea dentară.
Radiografiile Occlusale: O Perspectivă Detaliată
Radiografiile occlusale sunt proiectate să furnizeze imagini detaliate ale relației dintre dinții superiori și cei inferiori atunci când aceștia sunt în contact. Aceste radiografii se concentrează pe o zonă specifică și sunt utile pentru diagnosticarea și monitorizarea problemelor legate de occluzie, aliniere și contactul dintre dinți.
Tehnologia din Spatele Radiografiilor Occlusale
Procesul de obținere a unei radiografii occlusale implică utilizarea unui senzor sau a unei pelicule radiografice special concepute pentru această tehnică. Iată cum funcționează:
Pozitionarea senzorului sau a peliculei: Senzorul sau pelicula radiografică este poziționat în gura pacientului în zona care trebuie investigată, iar pacientul trebuie să muște senzorul sau pelicula pentru a asigura alinierea corectă a dinților.
Expunerea la radiații X: Radiografiile occlusale necesită o scurtă expunere la radiații X pentru a obține imaginea.
Captarea imaginii: Senzorul sau pelicula captură imaginea, care este apoi procesată pentru a putea fi analizată.
Analiza rezultatelor: Imaginea radiografică obținută poate fi examinată pentru a evalua contactul și alinierea dintre dinți.
Beneficiile Radiografiilor Occlusale
Radiografiile occlusale aduc cu ele o serie de beneficii semnificative pentru pacienți și profesioniștii din domeniul stomatologiei:
Evaluarea occlusiei: Radiografiile occlusale permit evaluarea detaliată a relației dintre dinții superiori și cei inferiori, precum și a contactului dintre aceștia.
Detectarea problemelor de aliniere: Aceste radiografii sunt utile pentru detectarea problemelor de aliniere dentară, cum ar fi malocluziile sau problemele legate de poziționarea dinților.
Diagnosticarea afecțiunilor articulației temporomandibulare: Radiografiile occlusale pot ajuta la diagnosticarea problemelor articulației temporomandibulare (ATM), cum ar fi disfuncțiile articulare.
Monitorizarea leziunilor și afecțiunilor: Imaginile obținute pot fi folosite pentru a monitoriza evoluția leziunilor, afecțiunilor sau a tratamentelor ortodontice.
Planificarea tratamentelor ortodontice: Radiografiile occlusale sunt esențiale pentru planificarea tratamentelor ortodontice, ajutând ortodonții să evalueze poziția dinților și a articulației temporomandibulare.
Prevenirea problemelor dentare: Prin detectarea problemelor de aliniere și occlusie în stadii incipiente, radiografiile occlusale pot ajuta la prevenirea afecțiunilor dentare și a problemelor articulare.
Aplicațiile Radiografiilor Occlusale
Radiografiile occlusale au diverse aplicații în domeniul stomatologiei, inclusiv:
Evaluarea occlusiei: Aceste radiografii ajută la evaluarea corectitudinii occlusiei și a contactului dintre dinți.
Diagnosticarea malocluziilor: Radiografiile occlusale pot identifica problemele de aliniere dentară și pot ghida tratamentul ortodontic.
Evaluarea articulației temporomandibulare: Imaginile occlusale sunt utile în diagnosticarea problemelor legate de articulația temporomandibulară (ATM) și a disfuncțiilor articulare.
Monitorizarea tratamentelor ortodontice: Radiografiile occlusale sunt folosite pentru a urmări progresul tratamentelor ortodontice și pentru a ghida corectarea aliniamentului dentar.
Planificarea tratamentelor de restaurare: Radiografiile occlusale sunt utile în planificarea restaurărilor dentare pentru a asigura ocluzie corectă.
Concluzie
Radiografiile occlusale reprezintă o tehnică de imagistică dentală importantă pentru evaluarea relației dintre dinții superiori și cei inferiori, precum și pentru diagnosticarea problemelor de aliniere și occlusie. Cu ajutorul acestor imagini detaliate, profesioniștii din domeniul stomatologiei pot oferi îngrijire dentară de calitate și pot planifica tratamente adecvate pentru pacienții lor.
La RADIOLOGIE DENTARĂ TEAM din Balș, suntem dedicați oferirii celor mai bune servicii de imagistică dentară, inclusiv radiografiile occlusale, pentru a asigura sănătatea orală a pacienților noștri
