Panoramă dentară
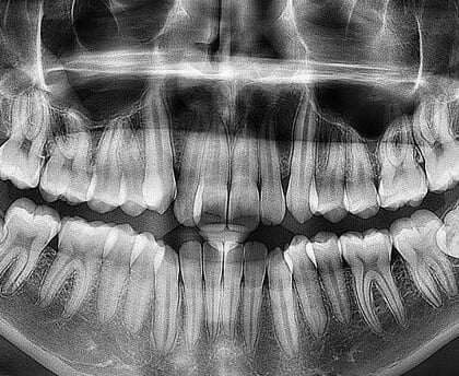
Radiografiile panoramice oferă o imagine completă a întregii cavități bucale, inclusiv a dinților, maxilarelor și articulațiilor temporomandibulare


Radiografiile panoramice dentare sunt o altă metodă importantă de imagistică medicală utilizată în stomatologie. Aceste radiografii oferă o imagine completă a întregii cavități bucale, inclusiv a dinților, oaselor maxilarelor și articulațiilor temporomandibulare. În acest articol, ne vom concentra asupra radiografiilor panoramice dentare, vom explora tehnologia din spatele acestora și vom evidenția beneficiile și aplicațiile lor în domeniul stomatologiei.
Radiografiile Panoramice Dentare: O Perspectivă Detaliată
Radiografiile panoramice dentare, cunoscute și sub numele de radiografii panoramică sau "panoramă", sunt o tehnică importantă de imagistică medicală utilizată în stomatologie. Aceste radiografii sunt diferite de radiografiile intraorale, care se concentrează pe un singur dinte sau pe o regiune specifică a gurii. În schimb, radiografiile panoramice oferă o vedere completă a cavității bucale într-o singură imagine.
Tehnologia din Spatele Radiografiilor Panoramice Dentare
Procesul de obținere a unei radiografii panoramice dentare implică utilizarea unei unități speciale de imagistică, cunoscută sub numele de "panoramică". Iată cum funcționează această tehnologie:
Rotirea capului pacientului: Pacientul se poziționează în fața unității de imagistică panoramică, iar capul său este poziționat astfel încât să fie stabil și să nu se miște pe parcursul captării imaginii.
Rotirea unității panoramice: Unitatea panoramică se rotește în jurul capului pacientului, capturând imagini în timpul acestei rotații.
Reconstrucția imaginii: Imaginile obținute în timpul rotației unității panoramice sunt apoi procesate de către un computer pentru a crea o imagine panoramică completă a cavității bucale.
Analiza rezultatelor: Imaginea panoramică rezultată poate fi afișată pe un monitor și analizată de către medicul stomatolog.
Beneficiile Radiografiilor Panoramice Dentare
Radiografiile panoramice dentare aduc cu ele o serie de beneficii semnificative pentru pacienți și profesioniștii din domeniul stomatologiei:
Vedere completă: Radiografiile panoramice oferă o vedere completă a cavității bucale, inclusiv a tuturor dinților, oaselor maxilarelor, sinusurilor paranazale, articulațiilor temporomandibulare și a altor structuri.
Diagnostic amplu: Aceste radiografii sunt utile pentru diagnosticarea unui spectru larg de afecțiuni dentare și osoase, cum ar fi cariile, infecțiile, fracturile osoase, chisturile sau tumori.
Planificarea tratamentului: Radiografiile panoramice sunt folosite în planificarea tratamentelor stomatologice, precum extracțiile de dinți, intervențiile chirurgicale și tratamentele ortodontice.
Ușurința procedurii: Obținerea unei radiografii panoramice este o procedură relativ simplă și rapidă, care nu implică contactul cu senzorii intraorali, ceea ce poate fi mai confortabil pentru unii pacienți.
Evaluarea dezvoltării dentare: Radiografiile panoramice sunt utile pentru evaluarea dezvoltării dentare, mai ales în cazul copiilor și adolescenților.
Monitorizarea evoluției: Imaginile panoramice pot fi utilizate pentru a monitoriza evoluția afecțiunilor dentare și osoase în timp.
Aplicațiile Radiografiilor Panoramice Dentare
Radiografiile panoramice dentare au o gamă largă de aplicații în domeniul stomatologiei. Iată câteva dintre cele mai comune:
Diagnosticul cariilor dentare: Radiografiile panoramice pot evidenția cariile dentare și le pot arăta pe toate dinții.
Evaluarea dezvoltării dentare: Imaginile panoramice sunt utile pentru evaluarea dezvoltării dinților și pentru depistarea oricăror anomalii.
Planificarea intervențiilor chirurgicale: Radiografiile panoramice sunt utilizate pentru planificarea intervențiilor chirurgicale, cum ar fi extracțiile de dinți sau corecțiile ortognate.
Evaluarea afecțiunilor osoase: Aceste radiografii pot ajuta la diagnosticarea problemelor osoase, cum ar fi fracturile sau tumori.
Planificarea tratamentelor ortodontice: Radiografiile panoramice sunt folosite în planificarea tratamentelor ortodontice pentru a evalua poziția dinților și a oaselor maxilare.
Monitorizarea evoluției bolii parodontale: Imaginile panoramice pot fi folosite pentru a monitoriza evoluția bolii parodontale în timp.
Concluzie
Radiografiile panoramice dentare reprezintă o tehnică esențială de imagistică în stomatologie. Acestea oferă o vedere completă a cavității bucale și sunt utile în diagnosticul și planificarea tratamentului pentru o gamă largă de afecțiuni dentare și osoase. Cu beneficiile lor semnificative, radiografiile panoramice rămân o resursă valoroasă pentru profesioniștii din domeniul stomatologiei în îngrijirea dentară modernă.
La RADIOLOGIE DENTARĂ TEAM din Balș, suntem dedicați oferirii celor mai bune servicii de imagistică dentară, inclusiv radiografiile
